近日一名老年患者因反复头晕入住我院神经内一科,入院后经过6天的精心诊疗,患者仍反复感到头晕,并伴有明显的心慌、胸闷等心前区不适症状,这一情况引起了神经内科医生的高度警惕,考虑到不除外心脏原因,随即邀请心血管内二科会诊,心血管内科会诊医师查看患者,结合患者冠脉介入治疗病史、当前体征及辅助检查等,认为患者虽以头晕为主要症状,但头晕严重时常伴有心前区不适,不排除患有严重冠状动脉病变。经与患方充分沟通,患者转入心血管内二科接受进一步诊治。
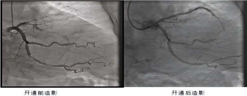
患者转入后随即进行了冠状动脉造影检查,造影结果显示:左前降支(LAD)自近段完全闭塞伴明显钙化!回旋支(LCX)远段狭窄90%,这是一种心血管内科专业的急危重症,意味着患者心脏的一大片区域长期处于严重缺血状态,随时有发生猝死的可能。由于患者前降支闭塞并伴有严重钙化,首先建议患者开胸搭桥,但患者家属坚决拒绝,坚持介入治疗。经充分论证、准备和沟通,心血管内二科介入团队遂冒着巨大风险为患者实施了冠脉介入手术。康振兴主任带领手术团队凭借精湛的技术,在IVUS辅助下,成功开通闭塞的前降支并在病变处植入了支架,同时于回旋支病变处植入支架,开通狭窄血管,重新建立了心脏的血液供应“生命线”。

目前,困扰患者半年的头晕症状和心前区不适感得到了明显改善,精神状态明显转好。患者及家属对我院医护人员精湛医术、高效的多学科协作能力表示了极大的赞誉和衷心的感谢。
案例启示
此例患者的成功救治,充分体现了疾病表现的复杂性、多样性,冠心病(尤其是老年患者)的症状并非“总是”典型的胸痛,顽固性头晕、乏力等也可能是心脏缺血发出的重要信号。对于疑似冠心病的患者,冠状动脉造影是明确诊断、指导治疗的“金标准”。
此次神经内一科与心血管内二科的无缝衔接和快速响应,是本次成功救治的关键。复杂冠脉病变,及时介入治疗,进行血运重建,患者可以重获新生。此次成功案例再次彰显了我院在复杂心血管疾病诊治方面的强大实力与深厚底蕴。
科室简介
临沂市第三人民医院心血管内二科,是一支临床业务能力强、教学、科研水平高的专业团队。目前拥有床位45张。科室拥有专业的心血管病专家及合理的人才梯队,学科带头人及科室骨干均先后在首都医科大学附属安贞医院、山东大学齐鲁医院、郑州大学附属郑州中心医院等全国知名心脏中心接受培训。科室对冠心病、心肌梗死、心力衰竭、高血压、各种心律失常、心肌病、先天性心脏病等常见心血管系统疾病有深入的研究和丰富的治疗经验,是目前临沂市唯一一家获得国家CDQI认证的“国家级心脏康复中心”,目前已成功完成多例无导线起搏器植入,已成功开展多例生物可吸收支架植入等新技术、新业务,对高难度、复杂冠脉病变介入治疗,拥有丰富的操作经验。
地址
门诊:2号楼 2楼 212 诊室
病房:2号楼 11 楼
电话:
康振兴主任:13573998292
王毛丫:18315617209
高超:13455941227
护士站:(0539)8769808

